首页 / 环堤征 / 图片详情
加载中...
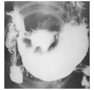
图3-41 胃溃疡型癌,钡餐检查,见腔外不规则龛影,有"环堤"及"指压迹"征

图3-41 胃溃疡型癌,钡餐检查,见腔外不规则龛影,有"环堤"及"指压迹"征

图片尺寸 313x297
上传时间 2026-03-12 01:40:43
关键词 环堤征

图片链接

缩略图
原图
外链

相关图片

胃溃疡型癌,钡餐检查,见腔外不规则龛影,有"环堤"及"指压迹"征图3-42

胃溃疡型癌,钡餐检查,见腔外不规则龛影,有"环堤"及"指压迹"征图3-42

x线诊断要点丨胃肿瘤的那些概念和征象

x线诊断要点丨胃肿瘤的那些概念和征象

什么是胃癌的指压迹征,裂隙征,环堤征,半月征,袖口征,肩胛征?

什么是胃癌的指压迹征,裂隙征,环堤征,半月征,袖口征,肩胛征?

由于炎症肿胀,正位观龛影周围常出现环形透光区称为月晕征(图5-23),其

由于炎症肿胀,正位观龛影周围常出现环形透光区称为月晕征(图5-23),其

09.23 消化系统疾病——食管癌

09.23 消化系统疾病——食管癌

x线诊断要点丨胃肿瘤的那些概念和征象

x线诊断要点丨胃肿瘤的那些概念和征象

溃疡型:龛影大多成多角形;周围有清楚的环堤;周围皱襞中断,末段呈杵状

溃疡型:龛影大多成多角形;周围有清楚的环堤;周围皱襞中断,末段呈杵状

僵硬为特征溃疡型:龛影大多成多角形;周围有清楚的环堤;周围皱襞中断

僵硬为特征溃疡型:龛影大多成多角形;周围有清楚的环堤;周围皱襞中断

陆军军医大学第二附属医院

陆军军医大学第二附属医院

溃疡型:龛影大多成多角形;周围有清楚的环堤;周围皱襞中断,末段呈杵状

溃疡型:龛影大多成多角形;周围有清楚的环堤;周围皱襞中断,末段呈杵状

随机推荐

赵又廷封面大片曝光 硬朗洒脱尽显型男魅力

赵又廷封面大片曝光 硬朗洒脱尽显型男魅力

唯美头像,朝气蓬勃,微信头像,紫色薰衣草相关的头像图片挑选下载

唯美头像,朝气蓬勃,微信头像,紫色薰衣草相关的头像图片挑选下载

人体内脏部位图解

人体内脏部位图解

海滨风光 壁纸(三)15 - 1440x900

海滨风光 壁纸(三)15 - 1440x900

刘欢《小爸爸》剧照 刘欢《小爸爸》剧照

刘欢《小爸爸》剧照 刘欢《小爸爸》剧照

陨石图片什么样的陨石更稀有珍贵

陨石图片什么样的陨石更稀有珍贵

翡翠四大国宝真正鬼斧神工40名玉雕大师历8年倾力雕琢而成

翡翠四大国宝真正鬼斧神工40名玉雕大师历8年倾力雕琢而成

【送卸甲巾】涂脚指甲油学生车厘子酒红显白防水持久免烤15ml大瓶

【送卸甲巾】涂脚指甲油学生车厘子酒红显白防水持久免烤15ml大瓶

长帝(changdi) cktf-30gs 多功能电烤箱 30升 家用烘焙型 上下管独立

长帝(changdi) cktf-30gs 多功能电烤箱 30升 家用烘焙型 上下管独立

手绘夏目友人帐夏目贵志

手绘夏目友人帐夏目贵志