首页 / 上颌骨矫正 / 图片详情
加载中...
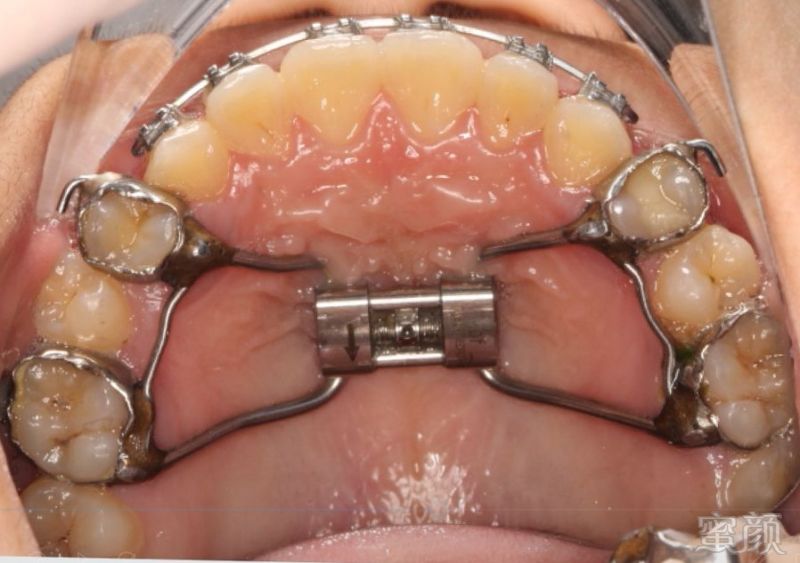
散在间隙,要注意检查是否存在不良习惯 牙弓变化1,上颌牙弓长度增加1

散在间隙,要注意检查是否存在不良习惯 牙弓变化1,上颌牙弓长度增加1

图片尺寸 800x563
上传时间 2026-03-18 02:55:32

图片链接

缩略图
原图
外链

相关图片

正畸前后上颌变化

正畸前后上颌变化

67上颌前突,正畸2年效果对比图 #衡阳优伢仕口腔医院# #牙齿矫正

67上颌前突,正畸2年效果对比图 #衡阳优伢仕口腔医院# #牙齿矫正

四川口腔医院 牙齿矫正记录2 - 知乎

四川口腔医院 牙齿矫正记录2 - 知乎

传动直丝弓矫正成人骨性反颌 - 好大夫在线

传动直丝弓矫正成人骨性反颌 - 好大夫在线

颌骨矫正

颌骨矫正

"地包天"的正畸治疗

"地包天"的正畸治疗

儿童替牙期矫正地包天会反弹吗要看牙齿地包天矫正器种类

儿童替牙期矫正地包天会反弹吗要看牙齿地包天矫正器种类

将错位的牙齿移动到合适的位置,而牙齿的移动范围不能突破颌骨的界限

将错位的牙齿移动到合适的位置,而牙齿的移动范围不能突破颌骨的界限

"的正畸治疗        适用于生长发育期的骨性或功能性"地包天"患者,是

"的正畸治疗 适用于生长发育期的骨性或功能性"地包天"患者,是

牙齿矫正最低多少钱?

牙齿矫正最低多少钱?

随机推荐

李洙赫

李洙赫

qq头像男生酷酷的超清酷酷的头像男生图片精选

qq头像男生酷酷的超清酷酷的头像男生图片精选

let it go钢琴谱-冰雪奇缘主题曲1

let it go钢琴谱-冰雪奇缘主题曲1

大牌口红

大牌口红

洪山镇高清航拍地图 - 2021年洪山镇高清卫星地图

洪山镇高清航拍地图 - 2021年洪山镇高清卫星地图

刘小薇,原名刘薇,中国演员.丈夫是著名导演冯小宁.

刘小薇,原名刘薇,中国演员.丈夫是著名导演冯小宁.

英短黑金渐层大家有了解吗

英短黑金渐层大家有了解吗

美女头发剪影

美女头发剪影

80年代的老房子,90年代的实木家具,舍不得的老物件回不去的童年

80年代的老房子,90年代的实木家具,舍不得的老物件回不去的童年