加载中...
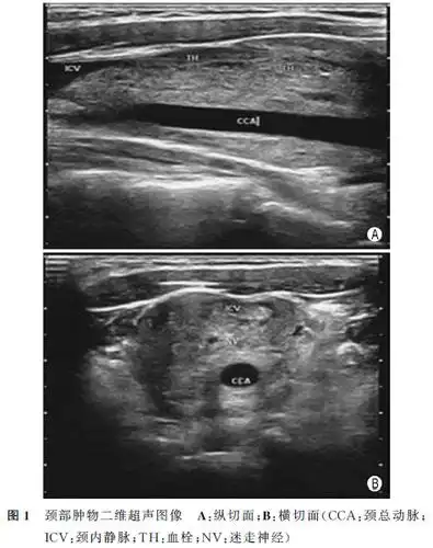
超声检查示:左颈动脉鞘内(甲状腺水平)见一低回声肿物(图1a),大小约5.

超声检查示:左颈动脉鞘内(甲状腺水平)见一低回声肿物(图1a),大小约5.

图片尺寸 474x600
上传时间 2026-03-17 12:06:29

图片链接

缩略图
原图
外链

相关图片

2,如何诊断?脂肪瘤?纤维瘤?

2,如何诊断?脂肪瘤?纤维瘤?

请问这个是脂肪瘤吗

请问这个是脂肪瘤吗

图4 颈部脂肪瘤.

图4 颈部脂肪瘤.

颈部淋巴管瘤 - 超声医学讨论版 - 爱爱医医学论坛

颈部淋巴管瘤 - 超声医学讨论版 - 爱爱医医学论坛

颈部包块(附图)(答案公布26楼)

颈部包块(附图)(答案公布26楼)

左颈部淋巴肿大麻烦医生帮忙看看彩超!

左颈部淋巴肿大麻烦医生帮忙看看彩超!

看看这是脂肪瘤吗? - 超声医学讨论版 - 爱爱医医学论坛

看看这是脂肪瘤吗? - 超声医学讨论版 - 爱爱医医学论坛

颈部长了包做过彩超超声所见患者所述颈部包块处探查皮下

颈部长了包做过彩超超声所见患者所述颈部包块处探查皮下

看看这是脂肪瘤吗? - 超声医学讨论版 - 爱爱医医学论坛

看看这是脂肪瘤吗? - 超声医学讨论版 - 爱爱医医学论坛

女生 大腿总是阵痛 已经两三年了 一碰就痛 去医院说可能是脂肪瘤 做

女生 大腿总是阵痛 已经两三年了 一碰就痛 去医院说可能是脂肪瘤 做

随机推荐

苏见信周末画报封面

苏见信周末画报封面

端午节糯粽飘香明日之后营地擂台挑战即将开启

端午节糯粽飘香明日之后营地擂台挑战即将开启

邓伦李沁恋情曝光二人用一个助理戴同款戒指还被拍到一同用餐

邓伦李沁恋情曝光二人用一个助理戴同款戒指还被拍到一同用餐

顾飞×蒋丞

顾飞×蒋丞

四川甘孜州最大的寺庙院之一在四川面积最大的县石渠色须寺

四川甘孜州最大的寺庙院之一在四川面积最大的县石渠色须寺

"香港第一美男"吴彦祖

"香港第一美男"吴彦祖

新年手抄报红色海报

新年手抄报红色海报

25周年谭咏麟94纯金曲演唱会香港大球场ldkaraoke转录版

25周年谭咏麟94纯金曲演唱会香港大球场ldkaraoke转录版

别怪我没告诉你锡纸牛肉空气炸锅版这么做最好吃

别怪我没告诉你锡纸牛肉空气炸锅版这么做最好吃

萧亚轩刚出道的时候的片片,和最新直播的照片.差距太大了!

萧亚轩刚出道的时候的片片,和最新直播的照片.差距太大了!