首页 / 小鼠肝细胞 / 图片详情
加载中...
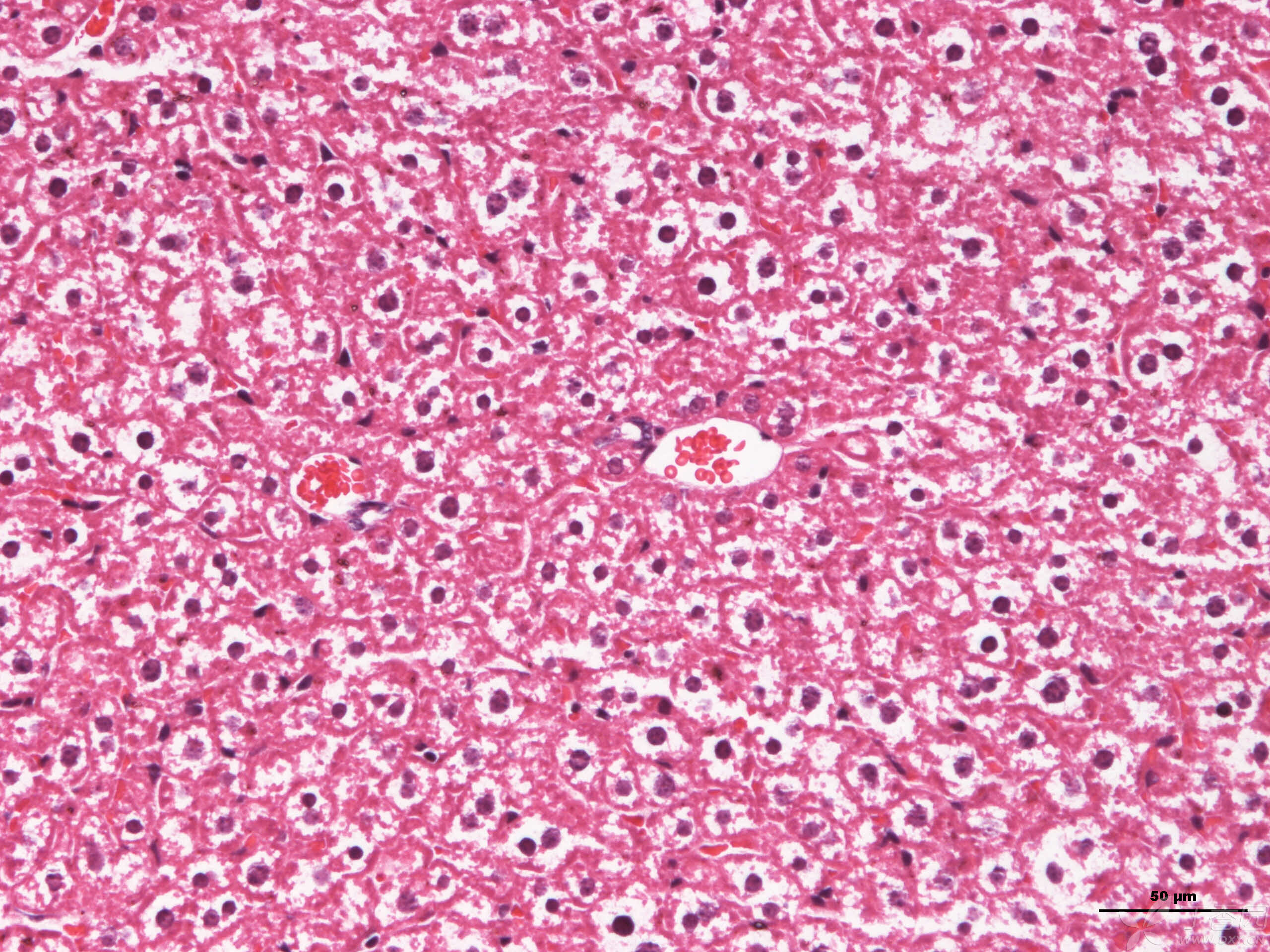
小鼠肝h&e染色图片,这些白色是脂肪变性或细胞肿胀吗?

小鼠肝h&e染色图片,这些白色是脂肪变性或细胞肿胀吗?

图片尺寸 2560x1920
上传时间 2026-03-13 01:39:45

图片链接

缩略图
原图
外链

相关图片

【求助】小鼠正常肝脏he 染色图片

【求助】小鼠正常肝脏he 染色图片

【求助】小弟,最近在样原代小鼠肝脏细胞,各位前辈帮忙看一下,培养基

【求助】小弟,最近在样原代小鼠肝脏细胞,各位前辈帮忙看一下,培养基

几张小鼠肝脏病理切片,求教

几张小鼠肝脏病理切片,求教

【求助】小鼠肝脏组织切片帮忙分析下吧.

【求助】小鼠肝脏组织切片帮忙分析下吧.

小鼠肝脏切片:深染的胞核是肝细胞核,还是肿瘤肝转移的?

小鼠肝脏切片:深染的胞核是肝细胞核,还是肿瘤肝转移的?

aml12小鼠肝细胞

aml12小鼠肝细胞

关于小鼠肝脏病理切片的请教

关于小鼠肝脏病理切片的请教

求助!小鼠肝组织病理切片,不知道什么原因,看不太清细胞

求助!小鼠肝组织病理切片,不知道什么原因,看不太清细胞

几张小鼠肝脏病理切片,求教

几张小鼠肝脏病理切片,求教

小鼠肝原代星状细胞培养

小鼠肝原代星状细胞培养

随机推荐

女生头像霸气高冷超拽冷酷 气质女生真人高清微信头像大全_女生头像

女生头像霸气高冷超拽冷酷 气质女生真人高清微信头像大全_女生头像

吴倩头像

吴倩头像

2021高考加油必胜表情包励志背景图 祝福高考的励志正能量简单一句话

2021高考加油必胜表情包励志背景图 祝福高考的励志正能量简单一句话

33岁离异女征婚照片(id:3578686)_山东济南征婚交友_我主良缘网

33岁离异女征婚照片(id:3578686)_山东济南征婚交友_我主良缘网

一家三口的日常早餐精致健康营养美味五天不重复还省钱

一家三口的日常早餐精致健康营养美味五天不重复还省钱

"小小主播"第六期—"机幼朗读者"绘本推荐《小熊不刷牙》

"小小主播"第六期—"机幼朗读者"绘本推荐《小熊不刷牙》

深普能团队合影

深普能团队合影

"大众情人"李秀明老照片|刘晓庆|影坛|女演员_网易订阅

"大众情人"李秀明老照片|刘晓庆|影坛|女演员_网易订阅

杨恭如的饱满身材真馋眼穿蓝色v领礼服高级时髦气场全开

杨恭如的饱满身材真馋眼穿蓝色v领礼服高级时髦气场全开

转的繁体字 转的异体字 转同音同调字查询

转的繁体字 转的异体字 转同音同调字查询