首页 / 口腔下颚图片 / 图片详情
加载中...
口腔病例分享

口腔病例分享

图片尺寸 1404x931
上传时间 2026-03-12 10:04:20

图片链接

缩略图
原图
外链

相关图片

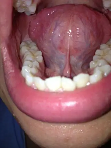
舌头下面,与下颚的连接处,有多个红色的小疙瘩

舌头下面,与下颚的连接处,有多个红色的小疙瘩

昨天早上突然发现下颚正前方牙龈内壁肿痛,今天肿痛更严重,而且起床

昨天早上突然发现下颚正前方牙龈内壁肿痛,今天肿痛更严重,而且起床

口腔内下唇内壁下颚舌根起泡怀疑是口腔尖

口腔内下唇内壁下颚舌根起泡怀疑是口腔尖

我们需要 唾液来清洁口腔

我们需要 唾液来清洁口腔

但在上颚左侧最末端的大牙旁边的口腔黏膜上的溃疡一直没好,在上下颚

但在上颚左侧最末端的大牙旁边的口腔黏膜上的溃疡一直没好,在上下颚

黏膜的不足,为了达到良好的软硬组织修复效果,促进患者的口腔健康维护

黏膜的不足,为了达到良好的软硬组织修复效果,促进患者的口腔健康维护

写实口腔高精度模型舌头牙齿上下颚

写实口腔高精度模型舌头牙齿上下颚

47岁女性口腔下颌右下34牙齿下面有肿物触硬感觉患者说像颗牙一样

47岁女性口腔下颌右下34牙齿下面有肿物触硬感觉患者说像颗牙一样

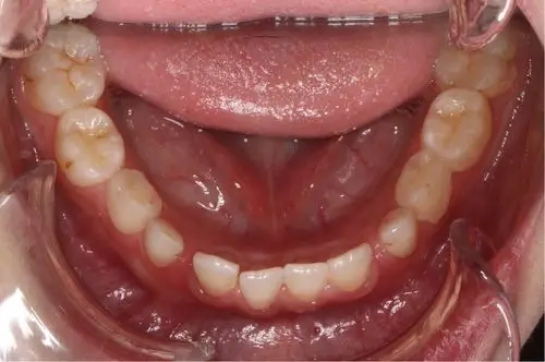
下牙龈处下颚内测左右两边各有一个鼓包是什么,知乎有专家知道吗?

下牙龈处下颚内测左右两边各有一个鼓包是什么,知乎有专家知道吗?

47岁女性口腔下颌右下34牙齿下面有肿物触硬感觉患者说像颗牙一样

47岁女性口腔下颌右下34牙齿下面有肿物触硬感觉患者说像颗牙一样

随机推荐

肖战玉骨遥##肖战##肖战时影

肖战玉骨遥##肖战##肖战时影

你好世界 #动漫 #遗憾 "真的谢谢你的喜欢    虽然但 - 抖音

你好世界 #动漫 #遗憾 "真的谢谢你的喜欢 虽然但 - 抖音

医院诊所急救护车玻璃门墙字贴卫生院门诊装饰防水防晒墙贴画指示定制

医院诊所急救护车玻璃门墙字贴卫生院门诊装饰防水防晒墙贴画指示定制

有慢性咽炎还能不能好好唱歌了?

有慢性咽炎还能不能好好唱歌了?

【定金】林德叉车 l10/l12 蓄电池托盘堆垛车

【定金】林德叉车 l10/l12 蓄电池托盘堆垛车

中和案例:白色真石漆点缀文化石外墙,会装出怎么效果呢?

中和案例:白色真石漆点缀文化石外墙,会装出怎么效果呢?

人物衣服简笔画教程

人物衣服简笔画教程

麦田

麦田

足疗海报设计图__海报设计_广告设计_设计图库_昵图网nipic.com

足疗海报设计图__海报设计_广告设计_设计图库_昵图网nipic.com

幼儿园可爱的背景图片_幼儿园ppt背景图片

幼儿园可爱的背景图片_幼儿园ppt背景图片