首页 / 肝纤维化图片 / 图片详情
加载中...
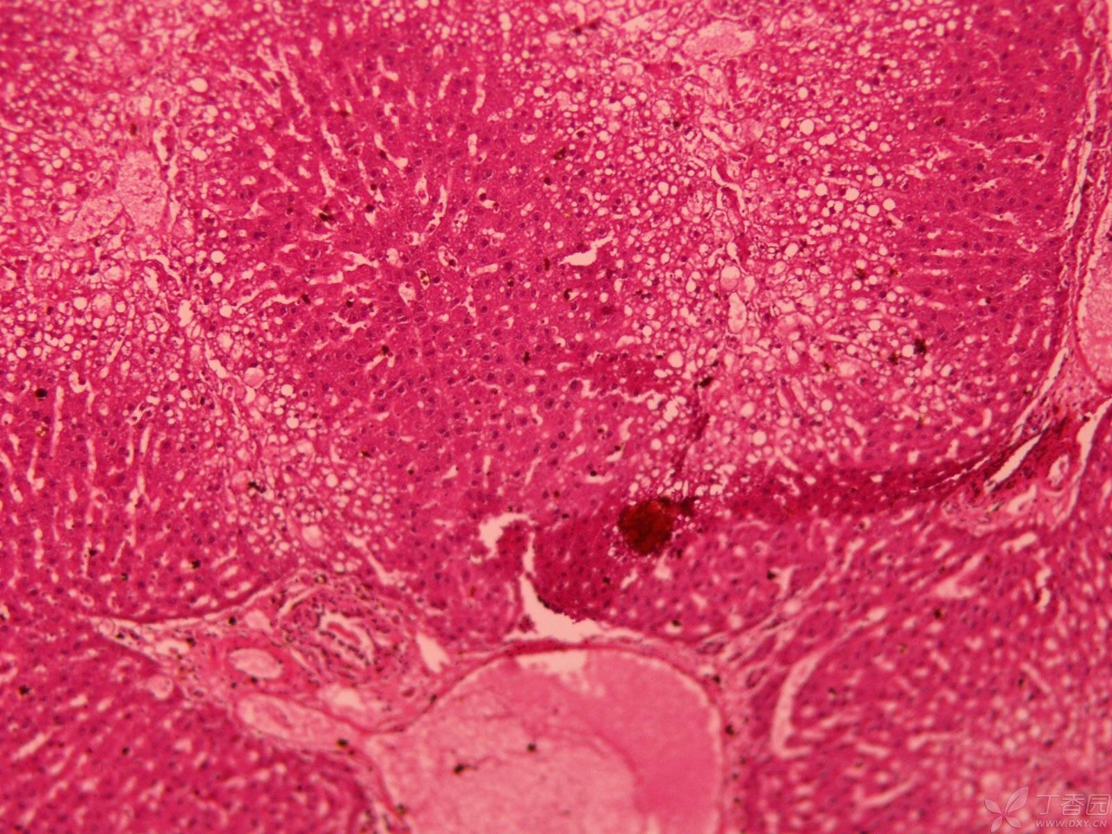
【讨论】大鼠肝纤维化肝脏病理切片,请各位老师帮忙看看

【讨论】大鼠肝纤维化肝脏病理切片,请各位老师帮忙看看

图片尺寸 1600x1200
上传时间 2026-03-19 21:27:02

图片链接

缩略图
原图
外链

相关图片

肝纤维化,肝硬化,区别联系有哪些?

肝纤维化,肝硬化,区别联系有哪些?

肝纤维化能逆转吗抗肝纤维化能做些什么医生早期治疗是关键

肝纤维化能逆转吗抗肝纤维化能做些什么医生早期治疗是关键

提示肝纤维化也有分级病情如何控制先看自己到了哪一步

提示肝纤维化也有分级病情如何控制先看自己到了哪一步

肝纤维化是如何形成的

肝纤维化是如何形成的

体检发现有轻度肝纤维化,但还经常要应酬,这种情况适合饮酒吗?

体检发现有轻度肝纤维化,但还经常要应酬,这种情况适合饮酒吗?

肝纤维化有肝掌症状么

肝纤维化有肝掌症状么

【讨论】肝纤维化石蜡切片染色

【讨论】肝纤维化石蜡切片染色

肝纤维化

肝纤维化

患了肝纤维化有哪些症状

患了肝纤维化有哪些症状

肝纤维化不可逆肝病专家牢记这3点让肝脏重返健康

肝纤维化不可逆肝病专家牢记这3点让肝脏重返健康

随机推荐

上蓬松蘑菇头发型简单的小男生蘑菇头做出不一样的梳发

上蓬松蘑菇头发型简单的小男生蘑菇头做出不一样的梳发

佘诗曼满48减30##只有佘诗曼喊我女王

佘诗曼满48减30##只有佘诗曼喊我女王

芳香深层经络按摩 90 min|不限次数

芳香深层经络按摩 90 min|不限次数

周星驰 张柏芝《喜剧之王》感人片段:在错的时间遇上对的人

周星驰 张柏芝《喜剧之王》感人片段:在错的时间遇上对的人

进销存软件-系统设置

进销存软件-系统设置

【三百大作战】金鱼姬-梅蒂尔,神器模式因神器不行,全靠装备战斗!

【三百大作战】金鱼姬-梅蒂尔,神器模式因神器不行,全靠装备战斗!

古代公主30厘米中国风芭比娃娃古风粉色汉服古装衣服玩偶摆件儿童

古代公主30厘米中国风芭比娃娃古风粉色汉服古装衣服玩偶摆件儿童

在那个没有美颜 滤镜和ps的年代,那些惊艳了时光的香港男明星吧

在那个没有美颜 滤镜和ps的年代,那些惊艳了时光的香港男明星吧

350小型混凝土搅拌机

350小型混凝土搅拌机

毛晓彤银色羽毛梦幻蓬蓬裙红毯造型,漂亮精致得像银河里的小仙女_玫瑰

毛晓彤银色羽毛梦幻蓬蓬裙红毯造型,漂亮精致得像银河里的小仙女_玫瑰