加载中...
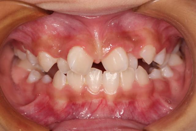
中华医学会的数据显示,中国青少年的错颌畸形(牙齿不齐)发病率很高,但

中华医学会的数据显示,中国青少年的错颌畸形(牙齿不齐)发病率很高,但

图片尺寸 640x429
上传时间 2026-03-13 04:07:12

图片链接

缩略图
原图
外链

相关图片

可是,近期,家住汉口黄孝河路的黄女士为8岁儿子乐乐的换牙问题烦恼不

可是,近期,家住汉口黄孝河路的黄女士为8岁儿子乐乐的换牙问题烦恼不

小朋友5周岁,有地包天,居住深圳,小朋友矫正牙齿能不能走医保卡?

小朋友5周岁,有地包天,居住深圳,小朋友矫正牙齿能不能走医保卡?

担心宝宝牙齿不齐?父母坚持做到这几点,让孩子拥有"完美"牙齿

担心宝宝牙齿不齐?父母坚持做到这几点,让孩子拥有"完美"牙齿

父母不注意这4点小心孩子牙齿长歪第一个很多家长都中招了

父母不注意这4点小心孩子牙齿长歪第一个很多家长都中招了

首页 牙齿矫正 牙列不齐

首页 牙齿矫正 牙列不齐

牙齿不齐

牙齿不齐

牙齿不齐什么时候矫正好?_手机搜狐网

牙齿不齐什么时候矫正好?_手机搜狐网

地包天?牙不齐怎么办?99%的人会这样做!

地包天?牙不齐怎么办?99%的人会这样做!

牙齿拥挤不齐

牙齿拥挤不齐

案例分享儿童牙齿不齐拥挤矫正案例

案例分享儿童牙齿不齐拥挤矫正案例

随机推荐

踢足球男孩矢量素材下载-卡通形象-矢量人物-矢量素材 - 集图网 www.

踢足球男孩矢量素材下载-卡通形象-矢量人物-矢量素材 - 集图网 www.

女头侧脸动漫

女头侧脸动漫

怪物猎人崛起风神龙怎么打

怪物猎人崛起风神龙怎么打

青山绿水3812209753835头像

青山绿水3812209753835头像

黑白

黑白

【实用英语】常用交通标志英语有哪些?

【实用英语】常用交通标志英语有哪些?

相思古诗带拼音

相思古诗带拼音

03/     1987年《王昭君》黄虹 饰

03/ 1987年《王昭君》黄虹 饰

陈敏之 女人的大志

陈敏之 女人的大志

张小斐避谈贾玲瘦100斤,许君聪视频暴露贾玲真实体重,网友质疑

张小斐避谈贾玲瘦100斤,许君聪视频暴露贾玲真实体重,网友质疑