加载中...
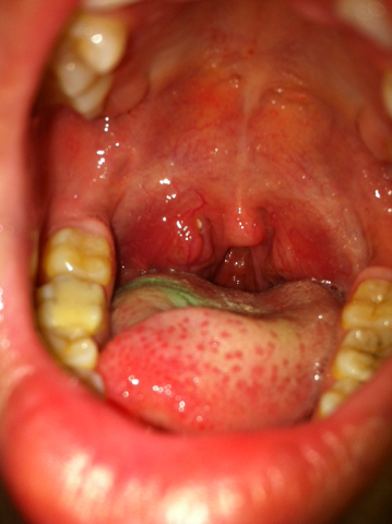
问:嗓子扁桃体发炎貌似起泡怎么办

问:嗓子扁桃体发炎貌似起泡怎么办

图片尺寸 359x480
上传时间 2026-03-22 18:39:36

图片链接

缩略图
原图
外链

相关图片

主要症状:         高热,嗓子痛,食欲差,口腔及咽喉出现灰白疱疹.

主要症状: 高热,嗓子痛,食欲差,口腔及咽喉出现灰白疱疹.

疱疹性咽峡炎的预防和治疗

疱疹性咽峡炎的预防和治疗

疱疹性咽峡炎终结版——知道这么多,就一点都不可怕

疱疹性咽峡炎终结版——知道这么多,就一点都不可怕

还有不知道疱疹性咽峡炎的家长吗速速了解

还有不知道疱疹性咽峡炎的家长吗速速了解

疱疹性咽峡炎高发季又到!妈妈注意防范!

疱疹性咽峡炎高发季又到!妈妈注意防范!

千万不要单纯以为是 普通的感冒,咽喉炎 很可能是传染性极强的 【疱疹

千万不要单纯以为是 普通的感冒,咽喉炎 很可能是传染性极强的 【疱疹

疱疹性咽峡炎

疱疹性咽峡炎

关于疱疹性咽峡炎小知识

关于疱疹性咽峡炎小知识

疱疹性咽峡炎伴发热呕吐以及腹泻积极治疗后好转

疱疹性咽峡炎伴发热呕吐以及腹泻积极治疗后好转

疱疹性咽峡炎高发季家长们要注意

疱疹性咽峡炎高发季家长们要注意

随机推荐

潮流头像男最新图片霸气帅哥头像超酷真人高清图片大全

潮流头像男最新图片霸气帅哥头像超酷真人高清图片大全

【图】2021年流行什么样短发 18款短发造型让你get女神风范_时尚发型

【图】2021年流行什么样短发 18款短发造型让你get女神风范_时尚发型

男生超酷de抖音头像男生头像大全

男生超酷de抖音头像男生头像大全

老母西山西王母神像16寸树脂彩绘十二摆件

老母西山西王母神像16寸树脂彩绘十二摆件

18k金项链爱心肖绑链颈链彩金项链女k金项链锁骨链玫瑰金项链女

18k金项链爱心肖绑链颈链彩金项链女k金项链锁骨链玫瑰金项链女

螃蟹,水下,海藻,树林,加利福尼亚,海洋生物

螃蟹,水下,海藻,树林,加利福尼亚,海洋生物

电视剧《恋爱先生》李宗翰质感大片曝光

电视剧《恋爱先生》李宗翰质感大片曝光

雪中飞snowflying羽绒服女士冬季大毛领带帽中长款前短后长x1501096

雪中飞snowflying羽绒服女士冬季大毛领带帽中长款前短后长x1501096

相反,秃顶的男人"性能力"可能更强

相反,秃顶的男人"性能力"可能更强

95天然原矿朱砂 紫金砂十二生肖八大守护神吊牌 招财辟邪做工 - 抖

95天然原矿朱砂 紫金砂十二生肖八大守护神吊牌 招财辟邪做工 - 抖