首页 / 脑积水ct / 图片详情
加载中...
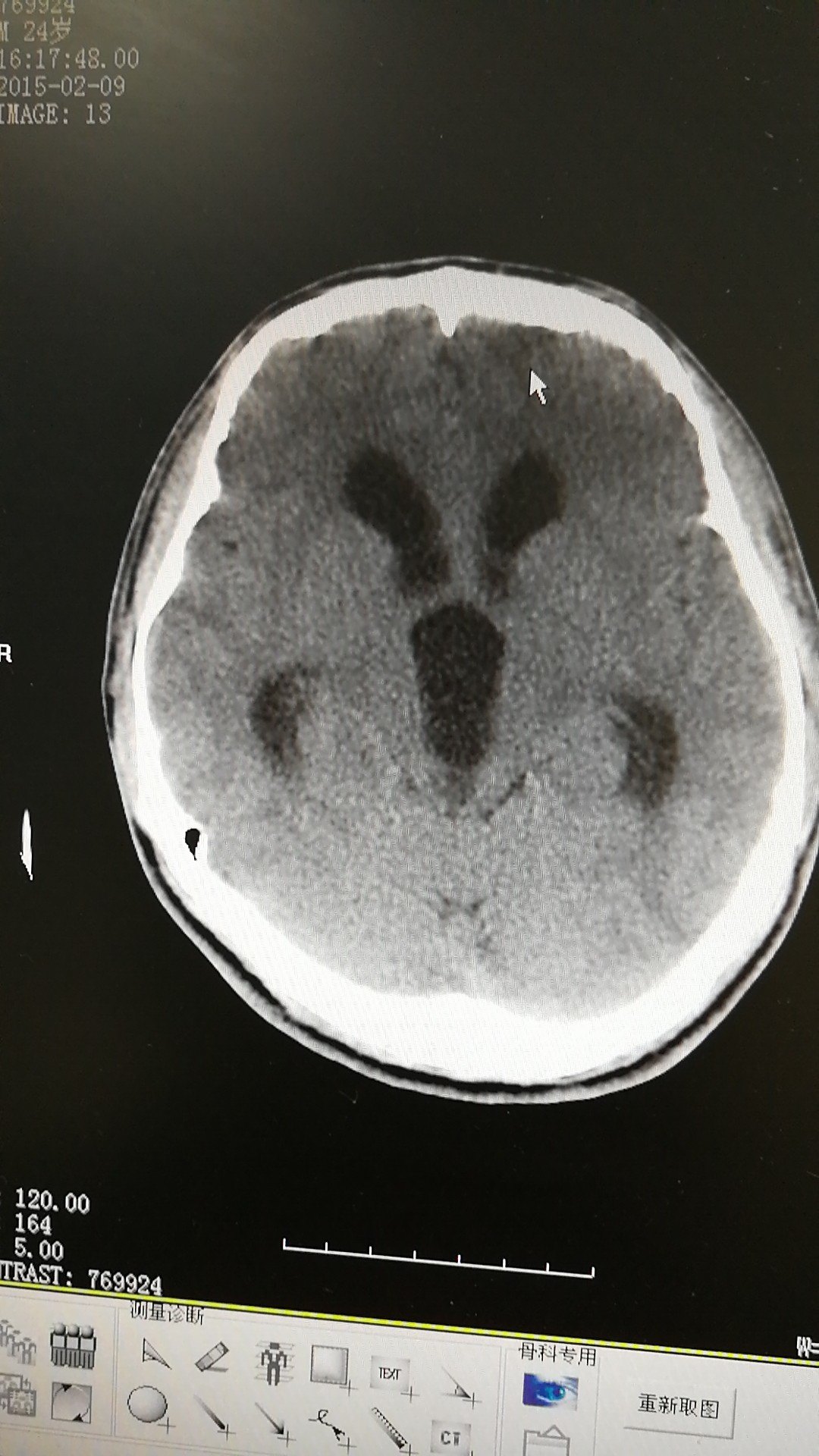
手术后可以明显改善症状,效果明显.脑积水ct显示:侧脑室,三脑室扩大

手术后可以明显改善症状,效果明显.脑积水ct显示:侧脑室,三脑室扩大

图片尺寸 1080x1920
上传时间 2026-03-21 12:50:48
关键词 脑积水ct

图片链接

缩略图
原图
外链

相关图片

罕见脑积水病例

罕见脑积水病例

贺晓生教授婴儿脑积水治疗三年后实例展示

贺晓生教授婴儿脑积水治疗三年后实例展示

脑积水ct影像

脑积水ct影像

肖庆:患者间歇性头疼2个月,一查竟然是脑积水!_手机搜狐网

肖庆:患者间歇性头疼2个月,一查竟然是脑积水!_手机搜狐网

脑积水ct显示:侧脑室,三脑室扩大有症状的脑积水应该及时手术治疗.

脑积水ct显示:侧脑室,三脑室扩大有症状的脑积水应该及时手术治疗.

案例59 脑积水

案例59 脑积水

该脑积水病例手术指征明确明确吗

该脑积水病例手术指征明确明确吗

神外例说天津市环湖医院郭芳特发性正常压力脑积水inph行走障碍的不

神外例说天津市环湖医院郭芳特发性正常压力脑积水inph行走障碍的不

【读片】脑积水 [病例帖]

【读片】脑积水 [病例帖]

2017年10月19日,在山西省某三甲医院复查头颅ct提示:"脑积水较前增加"

2017年10月19日,在山西省某三甲医院复查头颅ct提示:"脑积水较前增加"

随机推荐

西游记之大圣归来

西游记之大圣归来

宠物小精灵皮卡丘画画图片大全

宠物小精灵皮卡丘画画图片大全

微信头像男图片深沉男人背影_微信头像帅气男生成熟稳重背影大图

微信头像男图片深沉男人背影_微信头像帅气男生成熟稳重背影大图

光遇误红妆乐谱分享

光遇误红妆乐谱分享

小李子32年交往了61位女友,永远喜欢25岁以下的超模

小李子32年交往了61位女友,永远喜欢25岁以下的超模

eps格式蓝色调韩国简约时尚花纹背景矢量素材免费下载

eps格式蓝色调韩国简约时尚花纹背景矢量素材免费下载

有哪些好看而不为人所知的文字?

有哪些好看而不为人所知的文字?

14岁帅哥图片头像

14岁帅哥图片头像

还有人没睡觉吗

还有人没睡觉吗

古风二十四节气插画逍遥月系列--大雪

古风二十四节气插画逍遥月系列--大雪