首页 / 梨形心图片 / 图片详情
加载中...
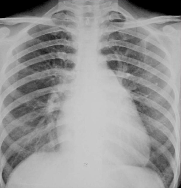
图2-22二尖瓣型心脏(梨型心)2.

图2-22二尖瓣型心脏(梨型心)2.

图片尺寸 600x624
上传时间 2026-03-22 09:29:03

图片链接

缩略图
原图
外链

相关图片

梨形心怎么回事	 梨形心也叫做靴形心,是指心脏疾病而导致心脏形状

梨形心怎么回事 梨形心也叫做靴形心,是指心脏疾病而导致心脏形状

图2 胸片正位:梨形胸廓,心影增大

图2 胸片正位:梨形胸廓,心影增大

梨型心

梨型心

【求助】普大型心,梨形心,靴形心的片子究竟怎么看啊

【求助】普大型心,梨形心,靴形心的片子究竟怎么看啊

执业医师第三站真题!(上篇)

执业医师第三站真题!(上篇)

梨形心,靴形心,烧瓶心 :这也样看平片,想不会都难

梨形心,靴形心,烧瓶心 :这也样看平片,想不会都难

梨与心的形状

梨与心的形状

看图(扩张型心肌病,全心衰-心肌无力了)要么是心脏本身增大(心包积液

看图(扩张型心肌病,全心衰-心肌无力了)要么是心脏本身增大(心包积液

三个梨图片

三个梨图片

临床执业医师实践技能考试心脏增大诊断公式

临床执业医师实践技能考试心脏增大诊断公式

随机推荐

【高清hd1080p修复】[香港][动作][2001][全职杀手][国语/mkv/3.

【高清hd1080p修复】[香港][动作][2001][全职杀手][国语/mkv/3.

宠物狗的种类178个宠物狗品种图片大全

宠物狗的种类178个宠物狗品种图片大全

罗援:中国地图由雄鸡变火炬 海洋国土应重视

罗援:中国地图由雄鸡变火炬 海洋国土应重视

咱们聊聊董洁同期另一部不太出名的戏——《天若有情》

咱们聊聊董洁同期另一部不太出名的戏——《天若有情》

金宝罗

金宝罗

喜欢用四种微信头像的女人,大多很贤惠

喜欢用四种微信头像的女人,大多很贤惠

com 卡通老爷爷 古代人物 渔夫 胡子

com 卡通老爷爷 古代人物 渔夫 胡子

神奇宝贝头像我的梦想是成为神奇宝贝大师

神奇宝贝头像我的梦想是成为神奇宝贝大师

其他木制用品--第4图:红木鸟笼,60元低价起拍

其他木制用品--第4图:红木鸟笼,60元低价起拍

《鬼怪屋》剧照.

《鬼怪屋》剧照.